Smile Gallery

The image shows a close-up of a person s teeth with yellow staining, and the individual appears to be smiling or showing their teeth.

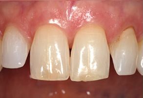
Before

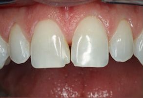
The image shows a close-up of a person s smiling face, focusing on their teeth and mouth.

After

The image shows a close-up of a person s teeth with yellowing and staining, which suggests dental neglect or poor oral hygiene.

Before

A close-up of a person s teeth with visible stains and discoloration, showing the upper front teeth.

After

The image shows a close-up of a person s face with a wide smile, revealing straight white teeth and a dimple on one cheek.

Before

The image features a close-up of a person s smiling face with teeth, showcasing a wide smile and a clean mouth.

After

The image shows a close-up of a person s teeth with visible plaque and stains, emphasizing oral hygiene concerns.

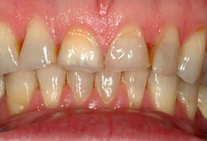
Before

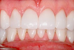
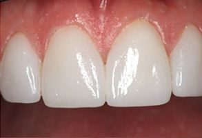
The image shows a close-up of a person s teeth, with the focus on a set of white, straight teeth and a partial view of their gums.

After

The image shows a close-up of a person s teeth with visible staining and wear, likely for dental health or cosmetic purposes.

Before

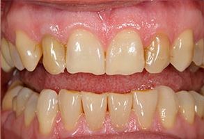
The image displays a close-up of a person s teeth, showcasing a bright smile with white teeth and pink gums.

After

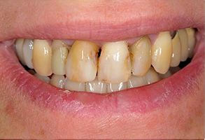
The image shows a close-up of a person s teeth with visible signs of decay and discoloration, highlighting the need for dental care.

Before

The image displays a close-up of a person s teeth with a focus on the bottom row, which shows a set of dental implants or artificial teeth.

After

The image shows a close-up of a person s mouth with yellowed teeth and a partial denture, highlighting dental care concerns.

Before

An image of a person s mouth displaying a set of teeth with a focus on the lower front teeth, which are stained and discolored.

After

Hours of Operation

Monday
10:00 am - 7:00 pm
Tuesday
10:00 am - 7:00 pm
Thursday
10:00 am - 7:00 pm
Saturday
8:00 am - 2:00 pm